BASES GENÉTICAS Y MOLECULARES DE LA APOMIXIS DIPLOSPÓRICA
Directora: Dra. Viviana Echenique
Investigadora Superior ad-honorem, CONICET
Profesor Titular, Dpto. de Agronomía
Universidad Nacional del Sur, Bahía Blanca
E-mail:
Datos académicos CONICET

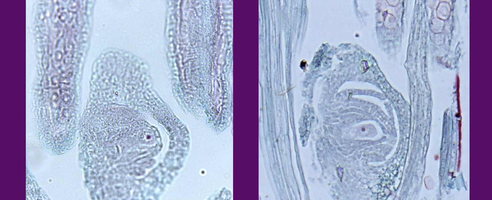
Este proyecto tiene como objetivo dilucidar las bases genéticas y moleculares de la apomixis diplospórica utilizando como modelo Eragrostis curvula. La apomixis se define como un modo de reproducción asexual (agámica) a través de semillas que conduce a la generación de progenies genéticamente idénticas a la planta madre. Este particular modo reproductivo ha evolucionado como un sistema de reproducción alternativo a la sexualidad a través de la reformulación de los programas de desarrollo del ovario. Si bien la apomixis en angiospermas es heredable, la base genética es inesperadamente compleja. El pasto llorón, Eragrostis curvula, presenta diplosporía mitótica con desarrollo del saco embrionario que contiene solo cuatro núcleos y con particularidades que hacen de esta especie un excelente modelo para el estudio del carácter. Conocer los factores que determinan la apomixis tendrá un gran impacto en la agricultura, habiéndose estimado que sus beneficios superarán en gran medida a aquellos de la revolución verde.
Líneas de Investigación
- Genómica estructural: 1) mapeo de alta densidad y localización de regiones genómicas, 2) secuenciación y ensamblado de genomas.
- Genómica funcional: transcriptómica, análisis de genes de candidato
- Epigenética: análisis de sRNA y vias del RdDM (RNA-directed DNA methylation).
Publicaciones recientes
See SIGEVA CONICET Dra. Viviana Echenique
See SIGEVA CONICET Dra. Ingrid Garbus
See SIGEVA CONICET Dr. Diego Zapaccosta
See SIGEVA CONICET Dr. Juan Pablo Selva
Materiales vegetales desarrollados
- Registro de Cultivares INASE. Pasto llorón (Eragrostis curvula (Schrad.) Nees). Material: UNST1122 (Victoria) Establecimiento Creador: UNS-ACA. Investigadores creadores: Echenique V, Polci P, Cardone S, Selva JP. RC9192. 2006-2026.
- Registro de Cultivares INASE. Pasto llorón (Eragrostis curvula (Schrad.) Nees). Material: UNST1131 (Bahiense). Establecimiento Creador: UNS-ACA. Investigadores creadores: Echenique V, Polci P, Cardone S, Selva JP. RC9193. 2006-2026.
- Registro de Cultivares. INASE. Pasto llorón (Eragrostis curvula (Schrad.) Nees). Material: UNST9446 (cv. Don Luis). Establecimiento Creador: UNS-ACA. Investigadores creadores: Polci P, Echenique V, Cardone S, Selva JP, Zappacosta D. RC9191. 2006-2026.
Colaboraciones Nacionales e Internacionales
- Dr. Mario Cáccamo NIAB Cambridge, UK.
- Dr. Emidio Albertini UNPG, Perugia, Italia.
- Dra. Lucia Colombo UNIMIL, Milano, Italia.
- Dra. Gabriella Consonni, UNIMIL, Milano, Italia.
- Dra. Marta Mendes, UNIMIL, Milano, Italia.
- Dr. Olivier Leblanc, IRD, Montpellier, Francia.
- Dra. Silvina Pessino, IICAR y UNR, Rosario.
- Dr. Juan Pablo Ortiz, IICAR y UNR, Rosario.
Participación en redes Internacionales
En enero de 2019 acaba de finalizar el proyecto Plant Reproduction for Crop Improvement (PROCROP) ID 645674, de la convocatoria H2020-MSCA-RISE-2014. Research and Innovation Staff Exchange (RISE) Este proyecto fue financiado por la UE. IR: Emidio Albertini, UNIPG, Perugia, Italia. Nodos Participantes: Italia (UNIPG, UNIMIL, Polo GGB), Francia (IRD), Argentina (UNR/IICAR, CERZOS).
Financiamiento
- PIP 11220200101905CO, CONICET. Estudio de la región determinante de la apomixis en Eragrostis curvula utilizando herramientas de secuenciación de última generación. Responsables: Dres. Diego Zappacosta y Viviana Echenique. $850.000
- H2020-MSCA-RISE-2019. ID: 872417. Mechanisms of Apomictic Developments (MAD). Proyecto de Cooperación Internacional Financiado por la UE. IR: Olivier Leblanc, IRD Montpellier Francia. Nodos Participantes: Italia (UNIPG, UNIMIL, UNIPAD, CNR), México (CINVESTAV), Reino Unido (NIAB), Australia (University of Adelaide), Suiza (Universitat). Monto total proyecto: 952.200 euros. Nodo CERZOS: IR Viviana Echenique. 120.000 euros
- H2020-MSCA-RISE-2019. ID: 101007438. The polyploidy paradigm and its role in plant breeding (POLYPLOID). Proyecto de Cooperación Internacional Financiado por la UE. IR: Emidio Albertini UNIPG, Italia. Nodos participantes: SEQUENTIA BIOTECH SL, España; UNIVERSITA DEGLI STUDI DI MILANO y UNIVERSITA DEGLI STUDI DI NAPOLI FEDERICO II, ambas de Italia; UNIVERSITY OF CALIFORNIA (UCDAVIS), Estados Unidos; NATIONAL UNIVERSITY OF IRELAND GALWAY, Irlanda; KEYGENE NV (Holanda); y LINCOLN UNIVERSITY, de Nueva Zelanda. Monto total proyecto: 900.000 euros. Nodo CERZOS: IR Viviana Echenique. 70.000 euros
- PICT Raíces 2017 - 0879. Genómica estructural para acceder a la región condicionante de la apomixis en Eragrostis curvula. IR: Dra. Viviana Echenique (CERZOS) y Dr. Mario Cáccamo (NIAB, UK). 1.080.000 pesos.
- PIP CONICET 2015 11220150100963. Evaluación del rol de los pequeños RNAs en la regulación de la apomixis diplospórica en Eragrostis curvula. CO. IR: Dra. Ingrid Garbus. (Echenique V, Zappacosta D, Selva JP).
Tesis Doctorales Aprobadas Recientemente
- Lic. Mauro Meier. Doctorado en Biología. Localización genómica de regiones asociadas a la diplosporía a través de mapeo genético de alta densidad y determinación de la herencia del carácter en Eragrostis curvula. Mayo 2019. Directora V. Echenique.
- Ing. Agr. Claudia Terenti Romero. Doctorado en Agronomía. Obtención y evaluación de nuevos materiales de pasto llorón (Eragrostis curvula Schrad Ness) y desarrollo de protocolos biotecnológicos para su utilización en programas de mejoramiento de la especie. UNS. Diciembre 2015. Directora V. Echenique.
Integrantes:
Dra. Ingrid Garbus
Investigadora Independiente, CONICET
Profesora Adjunta – Fisicoquímica Biológica A,
Dpto Ciencias de la Salud, UNS.
Transcriptómica, Bioinformática, técnicas moleculares
E-mail:

Dr. Juan Pablo Selva
Investigador Adjunto, CONICET
Auxiliar de docencia – Genética Molecular,
Dpto. de Biología Bioquímica y Farmacia, UNS.
Transcriptómica, técnicas moleculares
E-mail:

Dr. Diego Zappacosta
Investigador Adjunto, CONICET
Profesor Asociado, UNS.
Poblaciones segregantes, efecto del estrés en la expresión del carácter, GBS
E-mail:

Dra. Alejandra Diaz
Profesional Principal, CONICET
Auxiliar de docencia, UNS.
Transformación y caracterización de genes
E-mail:

Dr. Cristian Gallo
Profesional Principal, CONICET
Auxiliar de docencia, UNS.
Bioinformática
E-mail:

Dr. José Carballo
Becario Posdoctoral, CONICET
Ensamblado del genoma
E-mail:

Lic. Cielo Pasten
Becaria Posdoctoral, CONICET.
Transformación y caracterización de genes
E-mail:

Ing. Agr. Jimena Gallardo
Becaria Posdoctoral, CONICET
Ayudante Docencia, UNS.
GBS, Identificación de SNPs
E-mail:

Lic. Martín Quevedo
Becario Doctoral, ANPCyT
E-mail:












